现在,很多客户选择一体化显微系统,而不是生物显微镜 全新 一体化荧光显微成像系统 BZ-X

一体化显微系统受到青睐的三大原因

只要有一个鼠标,即可拍摄到高品质的图像

因为是全电动系统,放好标本后,图像拍摄、分析等操作都只需通过鼠标进行。
即使没有经验,也可以拍摄出与熟练的专业人士一样清晰的图像。

一键自动对焦

利用高灵敏度局部扫描实现高速处理

准确对焦

只需一台即可

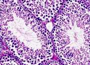
不仅支持明场观察,还可进行相位差和荧光观察。无需在用途增加时重新购置仪器。节省空间,只需一台可观察各类容器,除玻片外,还可以直接观察培养皿、孔板、烧瓶。

明视场

相位差

准确对焦

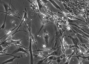
高品质的图像拼接也可在短时间内自动拍摄

可自动创建高精度拼接图像。可高度抑制阴影的高性能物镜与历时多年不断改进的图像处理技术相融合,可简单地拍摄无缝的高品质大视野图像。

一个视野范围

老鼠胚胎 / 拼接50,000 x 50,000像素的超大图像

详情请参阅产品目录