可清晰地观察到培养细胞 因此更容易寻找目标,实现准确的分析和测量 全新 一体化荧光显微成像系统 BZ-X

适合观察培养细胞的BZ-X 四大优点

全电动机构,自动优化设置

电动相位差电容机构根据透镜的注册信息自动设置为适当的相位差电容。还可自动调整对焦和曝光时间。
再也不会发生在拍摄后发现设置错误,需要重新拍摄的情况。

电动相位差电容机构

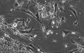
相位差 4倍

相位差 10倍

高速自动对焦

一键式自动对焦

高速处理,高灵敏度的局部扫描

准确对焦

可在各种容器上快速观察

培养皿、多孔板、烧瓶、玻片均可支持。无论材质是塑料还是玻璃、聚碳酸酯,可在各种条件下发挥超优观察性能。
同时配备适合各种容器的载物台视图功能,可快速抵达目标位置。

96孔板用载物台视图

座标台联动,瞬间移动到点击位置

玻片或培养皿皆同。

点击想要观察的位置
点击想要观察的位置

高精度定量测量功能

对于与背景的亮度差异小、难以测量的相位差图像,也可通过简单的操作实现高精度测量。
还可进行荧光观察,因此可轻松实现对荧光细胞数量占各个培养细胞的比例进行计数之类的测量。

实现高精度测量的“相位差模式”

准确提取和提取相邻细胞

可测量荧光发现比例

可一边培养一边观察

能够配备台面小型恒温箱。
可控制温度和CO2浓度,还可进行延时拍摄。

Fucci细胞周期检查点

详情请参阅产品目录