无需暗室的荧光显微镜 可轻松完成高精细拍摄和高水平分析 全新一体化荧光显微成像系统 BZ-X

无需暗室、节省空间

在明亮的房间里也能实现鲜明的荧光观察。可以安装在实验室的各个位置。

电动型,操作便捷

标配先进的全电动控制系统。通过优化的界面,可快速掌握操作方法。

使用载物台视图可瞬间抵达观察位置

仅需点击各种载物台所对应的映射图像
载物台连动,瞬间移动至点击位置

不会“淬灭”的电动快门

无荧光淬灭减轻模式
有荧光淬灭减轻模式

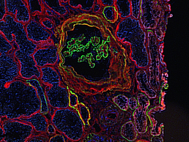
可以用于论文的清晰图像

彩色/黑白切换式高灵敏度冷却相机、高性能物镜、能够在荧光下使用的高精度自动对焦,利用这些先进的硬件和光学技术呈现高清画质。

惊人的高拓展性

可在必要的时间点拓展丰富的功能。
满足共聚焦显微镜、切片扫描仪、活细胞工作站、高内涵等需求。

“光学切片”技术

直逼共聚焦显微镜的高清图像

“孔板批量定量”功能

媲美高内涵的高效率分析

点击载物台视图瞬间抵达观察位置

“全幅对焦图像拼接功能”

详情请下载参阅产品目录或应用案例。