植物的自身荧光模糊的去除
何谓自身荧光
自身荧光的原理
自身荧光(autofluorescence)是指,由细胞结构或特性等产生的自然放光(光致发光:PL)。向物质照射激发光时,由于吸收光(光子)的能量,电子处于激发状态。从此状态返回基底状态时发出的光就是光致发光原理。细胞内的线粒体或溶酶体等细胞器(细胞小器官)、胶原蛋白或弹性蛋白等细胞外基质、NADH或核黄素等黄酮类的环状化合物具有可发出荧光的构造,由此表现出自身荧光。在植物细胞中,表现出自身荧光的典型物质有叶绿素(与光合作用相关的叶绿体)或细胞壁内木质素等。
自身荧光的波长
一般情况下,自身荧光被350至500 nm波长的光激发,并发出350至550 nm的短波长光。
例如,发出自身荧光的典型环状化合物NADH被340 nm左右的波长激发,并发出460 nm波长为主的蓝色自身荧光。另一方面,在植物的光合作用中利用吸收的光发挥激发能量作用的叶绿素,发出680 nm波长为主的自身荧光。
掌握不同物质的激发光波长及其响应性、自身荧光波长,对清晰地观察目标物质或组织尤为重要。
基于自身荧光的植物观察的课题与对策
植物荧光观察的课题
在观察植物等多细胞生物时,一般利用荧光蛋白质选择性地标示目标细胞或结构,并通过放大细胞或结构来进行详细观察。但是,在植物荧光观察中,若作为观察目标的细胞或蛋白质的信号微弱时,自身荧光会干扰识别,尤其在观察植物细胞时,叶绿素等发出自身荧光的物质是造成荧光模糊的典型因素。
植物的自身荧光导致的荧光模糊使目标物质的观察更加困难,因此如何实施荧光模糊对策,从而获取易于观察、分析的清晰图像就成为了课题。
自身荧光导致的荧光模糊对策
例如在植物细胞观察中,防止叶绿素的自身荧光造成妨碍的对策一般采用滤光片。
如上所述,叶绿素的自身荧光以680 nm为峰值的狭小范围波长发出。使用符合该波长区域的荧光滤光片套件,排除680 nm左右的波长后进行观察,从而在抑制荧光模糊等自身荧光影响的情况下进行荧光观察。
另外,在无法确定引起荧光模糊的自身荧光波长,或不具有固有波长特性时,采取首先通过标准荧光滤光片组件尝试各种波长,以找出可排除自身荧光的波长,然后使用该滤光片让目标物质更易于观察的方法。
植物观察的课题与要求
利用滤光片去除自身荧光产生的荧光模糊的方法,在确定可排除自身荧光的波长及与其对应的滤光片上需要花费时间与精力。此外,在观察植物细胞的内部结构时,需解剖器官,或将组织切成薄片制作切片标本。制作这些标本需要具备高超的技术和经验。同时在制作标本时,有可能对植物施加机械力而发生意外反应。
而且,通过组织切片等二维图像难以分析、评价实际的三维结构。因此,如何利用荧光模糊少而清晰的图像选择性观察目标细胞或组织,进而准确高效地观察三维结构,成为植物研究上的重大课题,也是重要的需求。
获取没有荧光模糊的清晰图像的方法
全新荧光显微成像系统能够简单快速地获取没有荧光模糊的清晰图像,进而满足实现三维观察等的各种课题或要求。下面使用实际的植物(土豆)观察图像,介绍植物观察课题的解决案例及其方法。
消除自身荧光模糊的清晰全幅对焦图像
基恩士的一体化荧光显微成像系统BZ-X在不使用激光的情况下凭借光学手法消除自身荧光导致荧光模糊的“光学切片”功能,轻松获取清晰图像。
光学切片是指,通过使用“光学切片算法”*消除荧光模糊,从而只保留调焦点位置上鲜明的荧光,由此简单快速地获取清晰图像的功能。并且,通过使用光学切片功能的同时在Z轴方向拍摄多张图像,在标本的纵深方向上的各种高度不受荧光模糊的影响,仅获取准确的荧光信号。只从拍摄的多个图像中检测并合成焦点对准的部分,可构建焦点对准整体的全幅对焦图像。由此,可以省去从滤光片套件中寻找要消除波长的对应滤光片的时间与精力,得以立即观察清晰图像。
-

-

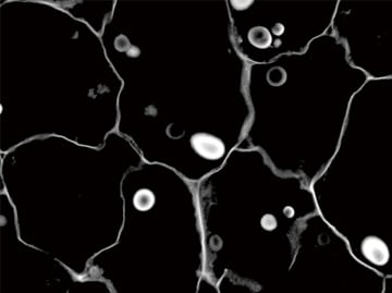
Z栈和全焦
-

-

Z栈和全焦
使用物镜:Plan Apochromat 40x
* “光学切片算法”通过结构化照明(Structured Illumination),仅抽取来自焦点面的信号,进行截面化(光学切片)。将通过具有紫外至近红外的广泛波长的金属卤化物灯产生的激发光,经由电气投影元件进行栅格状投影(结构化照明)。该栅格只投影于对焦部分。向Z轴方向移动栅格以获取多张图像,并从多张图像中抽取只有栅格投影的部分,从而消除上下方向的荧光模糊影响。利用此算法,可自动获得仅抽取焦点面信号的清晰图像。





3D图像构建与自由观察
如果只从多个截面样品获取若干个二维图像,难以观察及分析三维组织结构。
BZ-X可在Z轴方向上以相同的节距拍摄各位置的多张Z栈图像,只需一键即可构建3D图像。只需看着显示器操作鼠标,即可自由进行3D图像的旋转、变焦、截面观察。
3D图像可在各种角度获得全幅对焦图像,因此随意操作鼠标都能准确掌握荧光信号的定位,不会漏看目标细胞或组织。
-

不使用光学切片拍摄
-

使用光学切片拍摄
- 如果引进一体化荧光显微成像系统BZ-X
-
- 通过消除荧光模糊的光学切片功能,可轻松获取清晰图像。
- 在Z轴方向以指定节距连续拍摄多张图像的Z栈功能,及从这些图像中只抽取对焦部分并进行合成的全幅对焦功能,实现对标本纵深整体对焦的全幅对焦图像观察。
- 基于通过光学切片功能获取的Z栈图像,可轻松构建准确的高精度3D图像。
- 只通过鼠标操作,即可自由进行3D图像的旋转、变焦、截面观察,在各种角度都可正确掌握荧光信号的定位。


