皮肤的紫外线损伤部位的定量评价
紫外线具有灭菌或调整生物节律、促进新陈代谢、合成维生素D强化骨骼等有益于人体的功能。 但是,近年来由于臭氧层破坏导致紫外线增加,日晒引起的皮肤老化或皮肤癌等健康损害日益受到关注。
下面说明紫外线的概念、紫外线对皮肤的影响及其机制。还对紫外线引起的皮肤损伤观察及定量评价进行说明。
何谓紫外线
紫外线是指,到达地表的太阳光线(电磁波)中波长为100 nm至400 nm范围的光线。1801年由里特(Johann Wilhelm Ritter)发现,根据其波长比被称为可见光线的400 nm至780 nm范围中的最短紫色波长(400 nm)更短而被称为紫外线。
关于波长:利用光医学、光生物学的值进行说明。
紫外线的种类
按照对生物的作用,紫外线进一步分为UVA、UVB、UVC。
UVA(长波紫外线):波长为320 nm至400 nm的紫外线。
UVB(中波紫外线):波长为290 nm至320 nm的紫外线。
UVC(短波紫外线):波长为100 nm至290 nm的紫外线。
到达地表的太阳光线中紫外线占5%至6%,其中的约90%为UVA,10%左右为UVB。大部分UVC被臭氧层吸收,并不到达地表。因此,在考察对皮肤表皮层的损伤时的对象是UVA与UVB。
- a
- 紫外线
- b
- 可见光线
- c
- 红外线
紫外线的波长与光子能量
紫外线是属于电磁波的一种光。光由称为光子的粒子(基本粒子)构成,该粒子所具有的能量称为光子能量。光子能量与光振动数成正比,与波长成反比,在h表示普朗克常数(6.626 × 10-34Js),c表示光的速度,λ表示波长时,光子能量E如以下公式所示。
E = h × c / λ
通过该公式可知,波长λ变长时光子能量E变小,波长λ变短时光子能量E变大。光子能量越大,对物质分子结合的破坏力越大,波长越长,到达地表的比率越高。
由于UVB具有短波长,到达地表的比率低,无法渗透真皮,仅对表皮造成损伤。而且具有大的光子能量,在短时间内就会造成严重损伤。
另一方面,由于UVA具有长波长,到达地表的比率高,可以透过表皮到达真皮。由于具有小的光子能量,不会在短时间内造成严重损伤,但长时间照射时,也会损伤真皮。
皮肤的紫外线防护功能
皮肤具有通过细胞更替,从紫外线伤害中保护真皮及皮下组织的功能。
皮肤由表皮和真皮构成。其中,表皮是最表面的层。表皮从表面起分为角质层、颗粒层、有棘层、生发层。
紫外线透过表皮角质层后,生发层的黑色素细胞会生成黑色素,以从UVA或UVB损伤中保护真皮。黑色素是褐色或黑色色素。生成的黑色素分泌到角质形成细胞(表皮细胞),被推升至角质层。
被推升至角质层的黑色素与角蛋白具有阻断UVA与UVB的功能,通过皮肤的一系列作用可从紫外线损伤中保护生发层及真皮。
- A
- 紫外线
- B
- 表皮
- C
- 真皮
- D
- 角质层
- E
- 颗粒层
- F
- 有棘层
- G
- 生发层
- H
- 黑色素细胞
紫外线引起的皮肤疾病
如上所述,皮肤具有从紫外线损伤中保护表皮生发层及真皮的功能。但是,当紫外线照射量超过保护功能,或长时间照射紫外线时,将造成皮肤疾病。下面介绍紫外线造成的皮肤疾病中的典型症状及其发生机制。
UVB引起皮肤疾病
UVB的波长短,易于被臭氧层等吸收,因此到达地表的量较少,对皮肤的渗透也较浅,但是,因其具有高能量,短时间照射也可引起“晒伤”或“晒黑”等疾病。
晒伤是皮肤被紫外线晒红的现象。主要由UVB引起,也称为“红斑反应”。晒伤发生在暴露在强紫外线下长达数小时后,晒红部位的血管发生扩张而引起炎症。在之后的8小时到12小时症状接近峰值,症状持续数日后将恢复原状。
随着血管扩张,吸收了UVB的角质形成细胞将生成细胞因子,引起炎症反应。另外,此时以DNA链结合相邻的嘧啶碱基,形成称为嘧啶二聚体的细胞损伤。皮肤细胞通过核苷酸切除修复功能,可修复该损伤。但是,损伤的发生量超过此功能,或无法顺利修复时就会发生晒伤。由于受伤细胞的增殖,还会导致黑色素瘤(恶性黑素瘤)或棘细胞癌、基底细胞癌等恶性皮肤癌。
晒黑是皮肤因紫外线而变黑的现象,也称为“黑化”。症状有“即时性黑化反应”与“延迟性黑化反应”。
- 即时性黑化反应
- 即时性黑化反应是照射紫外线后皮肤中的还原型黑色素立即发生光氧化的现象。一般在数小时内即可恢复原状。
- 延迟性黑化反应
- 延迟性黑化反应是在照射紫外线2天以后黑色素经过长时间生成而发生。延迟性黑化反应也可持续数月。
UVA引起皮肤疾病
UVA比UVB更多地到达地表。由于其具有长波长,可透过表皮角质层的黑色素与角蛋白渗透至真皮。
到达真皮的UVA导致弹性纤维或胶原纤维、粘多糖类等的分泌造成恶性影响,使皮肤的弹性或紧致度下降,招致皱纹或下垂等皮肤老化现象(光老化)以及皮肤疾病。同时使已经形成的黑色素发生氧化,导致肌肤变黑。
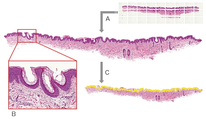
紫外线引起皮肤损伤的定量评价
紫外线引起的皮肤损伤可通过显微镜观察染色的皮肤表皮层厚度进行评价。但是,任意抽取单独视野进行测量的方法,会导致各视野数据差生差异,难以进行稳定的评价。此外,由于样品无法完整地进入视野时,需分段进行数次观察,从而必须反复进行对焦及照明设定。
基恩士的一体化荧光显微成像系统BZ-X,可在确认整体图像的同时,只需通过点击最外侧的4点注册坐标的简单操作,即可连续高速拍摄大量图像。可拼接高达 50000 × 50000 pixel 的图像。利用高精度阴影消除算法,可修复由于物镜像差产生的亮度不均,从而修复图像拼接时产生的接缝。可观察没有接缝的自然拼接图像。另外,在进行局部观察时,只需在拼接图像点击要观察的位置,即可瞬时移到该坐标进行高分辨率观察。
使用混合细胞计数,可基于颜色或亮度、轮廓信息准确抽取目标位置,进行面积定量化。使用拼接图像,可获得准确且易于视觉辨认的高品质数据。
存在多个样品时,使用宏细胞计数,通过将首张的测量条件批量应用到其他图像,可实现自动测量。不仅能缩短测量时间,还能消除由于测量条件不同所造成的误差,可以提高数据的可靠性。
- A
- 拼接图像拍摄
- B
- 高分辨率的局部观察
- C
- 损伤部位的抽取与定量化 面积 72865 μm2
- 如果引进一体化荧光显微成像系统BZ-X
-
- 通过图像拼接,可快速获取大范围的图像数据。可使用自然无接缝的高分辨率拼接图像进行观察。
- 由于可提取表皮层整个区域进行面积测量,因此可在短时间内获得没有偏差的定量数据。
- 当需要评价多个样本时,可以同一条件测量各个样本,可进行排除了随意性的正确对比评价。


