CD68(巨噬细胞)的肾小球占比自动分析
CD68(巨噬细胞)对肾脏组织造成的影响
CD68(巨噬细胞)对肾小球的浸润,是一种常见于所有进行性肾脏疾病的普遍现象。
肾小球是由遍布小孔的毛细血管构成的微小组织块,负责肾脏的过滤功能,单个肾脏中约有100万个肾小球。肾小球一旦被巨噬细胞浸润,就会引发肾脏组织纤维化*的现象。
* 什么是纤维化?
构成组织的结缔组织发生异常增殖的现象。以系统性硬化症为例,胶原纤维(胶原蛋白)等细胞外基质在皮肤、内脏中的含量增加,导致皮肤及内脏硬化。心脏的纤维化是胶原蛋白在细胞外过多堆积的现象,导致心肌变硬,心脏功能降低。
相关页面:纤维化的定量化
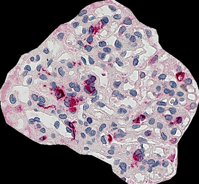
CD68(巨噬细胞)的肾小球占比分析事例
CD68(巨噬细胞)的肾小球占比分析事例如下所示。进行HE染色,拍摄肾脏活检的整体图像。通常情况下,我们很难对具有一定厚度的样本进行准确对焦,而借助Z栈拍摄,就能实现全幅对焦的清晰显微镜观察。



肾小球占比4.3%
如果引进一体化荧光显微成像系统BZ-X
- 对具有一定厚度的标本也全幅对焦。
- 利用高速图像拼接功能,能够以高分辨率拍摄整体图像。
- 能够以统一的阈值自动定量,使客观分析成为可能。


