使用图像细胞分析仪(ICM)进行菌丝的浓度定量化
什么是图像细胞分析仪?
图像细胞分析仪是指通过细胞光度术能够在导入图像的同时,在短时间内对大量的细胞进行逐个定量化的系统。能够在不剥离细胞的状态下,直接对孔培养板及载玻片进行定量化。具有能够记录孔培养板或载玻片上的各个细胞的位置及测量信息,并进行定量化及对比的特点。
细胞光度术大致分为流式细胞光度术(FCM)和图像细胞光度术(ICM)。使用上述测量法的装置分别称为流式细胞分析仪及图像细胞分析仪。
流式细胞分析仪的课题
流式细胞分析仪可高速进行大量细胞的计数,被广泛用于众多研究室。
而另一方面,也存在“由于无法直接观察,不知道测量结果究竟是否正确”、“这种方法必须要消化细胞,会破坏细胞的原始状态”等缺点。
另外,在使用大型细胞或有粘着性的细胞时,流式细胞分析仪有可能发生堵塞。
图像细胞分析仪的优点
而图像细胞分析仪则将细胞现象拍成图像后进行定量化及分析,因此无需消化细胞,可直接分析培养细胞。随着成像技术的发展,近年来愈发受到关注。
例如,将细胞形态信息与多种蛋白质的定位、表达信息建立关联后进行分析等以往难以进行的分析,现在能够边确认实际图像边进行定量化。
使用图像细胞分析仪的批量自动测量事例
以往在使用孔培养板或载玻片进行细胞定量化时,存在总是无法正确定量化、出现个体差异、无法观察整体图像之类的问题,而使用配备新型图像细胞分析仪的BZ-X,则能够实现高精度定量化。以接近共焦的清晰观察,实现更加清楚的观察与分析。



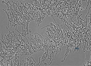
低亮度孔的菌丝密度较高
- 如果引进一体化荧光显微成像系统BZ-X
-
- 可准确定量,确认菌丝的增殖程度及浓度。
- 能够高倍率拍摄孔整体,整体图像一目了然。
- 无需暗室,全电动控制,无需培训即可轻松操作,减少人为操作造成的个体差异,提高分析水准。


