肝脏组织的观察
获取高分辨率图像
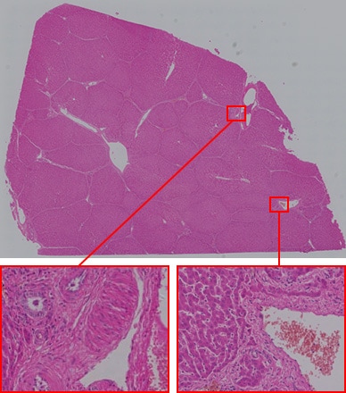
肝脏因为功能非常多而被世人熟知,在代谢、排泄、消化等上具有重要的作用,因此脂肪肝、肝硬化、肝癌等症状的研究得到充分重视。
由于肝脏的切片较大,使用显微镜观察时无法完整进入视野,只能随意观察几处部位。
图像的确认、剪切也可进行高分辨率观察。
-

图像拼接
-

使用物镜:CFI Plan Apo λ20x
图像拼接:19张 × 19张
如果引进一体化荧光显微成像系统BZ-X
- 针对无法完整进入视野的大切片,一边移动载物台一边获取图像,将拍摄的图像拼接起来,即可合成1张高分辨率图像。
- 即使标本有倾斜、高低差,也能在Z方向获取多张图像,只从拍摄的图像中合成焦点对准的部分,可构建焦点对准整个标本的全幅对焦图像。
- 使用混合细胞计数,只从整个肝脏提取目标部分,可自动计算比例。
- 根据在混合细胞计数中使用的提取条件,使用宏细胞计数,可批量处理多个图像。


